



Permanent, life-changing dental implant solutions, from single implants to full upper and lower arch restoration, all powered by SMYLE Technology. SMYLE™ Technology is our advanced, fully digital system for planning and delivering full-arch dental implants with exceptional accuracy, predictability, and personalization. Rather than relying on a single device, SMYLE™ is a comprehensive digital workflow that guides treatment from diagnosis through final restoration, ensuring every step is intentional and precise.
Using advanced digital technology and a personalized approach, our team delivers predictable, long-lasting implant results designed to restore comfort, function, and confidence.
Fill out the form below, and we’ll get back to you as soon as possible.
All-on-X implants restore a full upper or lower arch using a fixed, long-lasting implant solution.
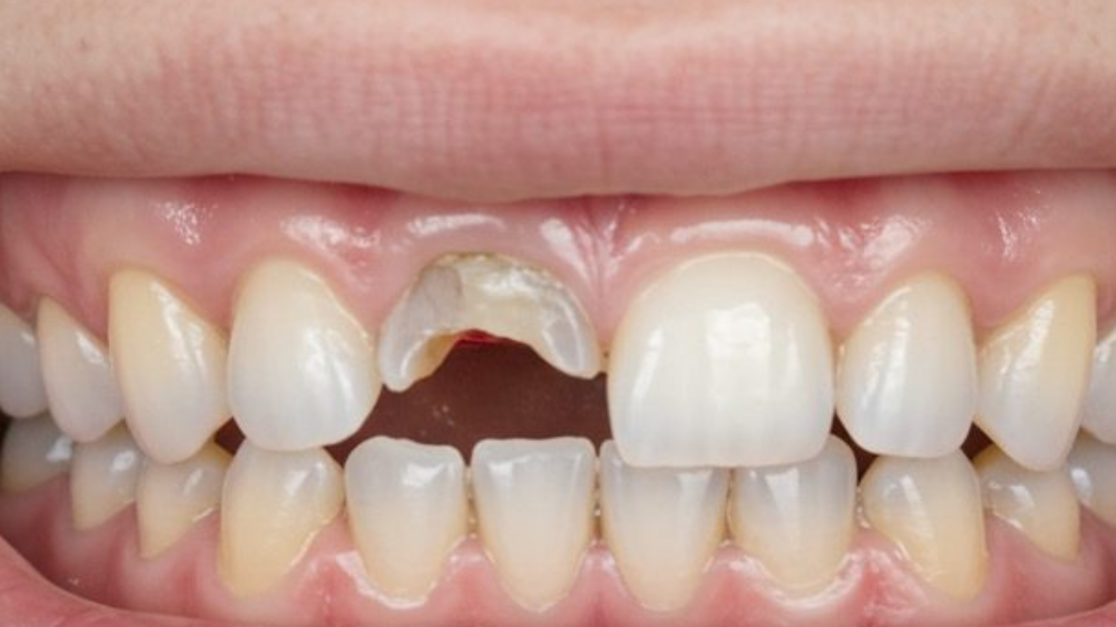
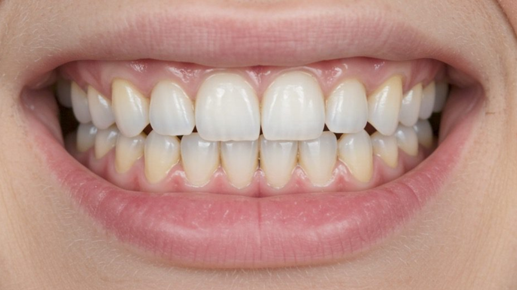
Single dental implants replace one missing tooth with a natural-looking, permanent solution.
For more complex needs, we offer dental implants, wisdom teeth extractions, and other oral surgery procedures to restore both function and aesthetics.
Implant-supported dentures provide a secure, stable alternative to traditional removable dentures.
Tooth extractions are performed safely and comfortably to prepare for dental implant treatment.
Emergency dental care provides fast relief for dental pain, trauma, and urgent oral health issues.
Advanced on-site CBCT 3D imaging enables precise implant planning, improving safety, accuracy, and long-term success.

On-site CBCT 3D imaging allows for precise dental implant planning by providing detailed, three-dimensional views of the jawbone and surrounding structures.

Same-day temporary teeth are available for qualified patients, so you can leave with a functional smile the same day.

Our professional cleaning and polishing treatments remove surface stains caused by food, drinks, or smoking, helping restore the natural brightness of your teeth.



Clinical Director
Emergency dental care is available to provide prompt relief for pain, infection, and urgent dental concerns. Our team is here to evaluate your symptoms quickly, provide the treatment you need, and help you feel comfortable again as soon as possible.
“I was nervous about full arch implants, but the care and technology here put me at ease. From the initial consultation to walking out with a temporary set the same day, the process was smooth and professional.”

Full Arch Patient
“After years of struggling with dentures, my full arch implants have completely transformed my quality of life. The staff was compassionate, and the results are natural and strong. Highly recommend!”

Implant Denture Patient
“Getting my full arch dental implants was life-changing. The team made every step comfortable and clear, and I finally feel confident eating and smiling again. I couldn’t be happier with the results!”

Full Arch Patient

Our team at National Dental Implant Center of Huntington is here to provide you with expert implant dental care in a comfortable and welcoming environment.